目次
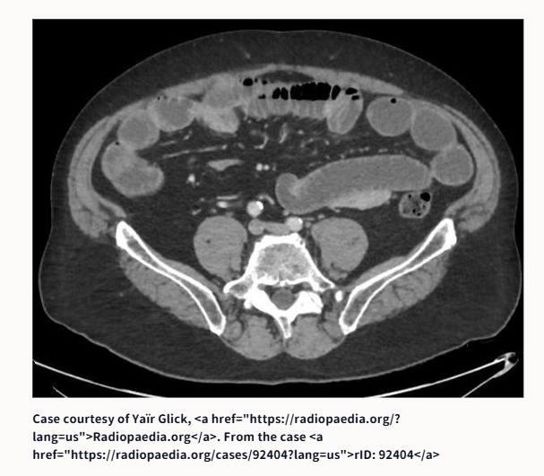
①腸閉塞です。原因は何でしょうか?

①腸閉塞の原因は、鼠径ヘルニア嵌頓でした

②腸閉塞です。原因は何でしょうか?

②腸閉塞の原因は、鼠径ヘルニア嵌頓でした

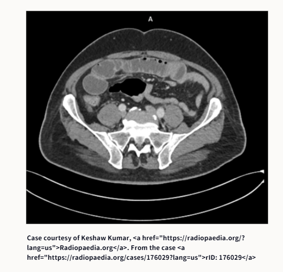
③腸閉塞です。原因は何でしょうか?

③腸閉塞の原因は、鼠径ヘルニア嵌頓です

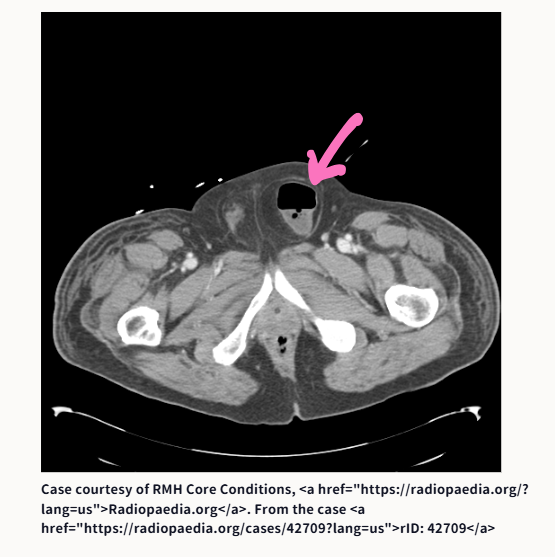
④腸閉塞です。原因は何でしょうか?

④腸閉塞の原因は、大腿ヘルニア嵌頓でした

こあら先生のひとりごと
腸管が物理的に閉塞して通過障害が起きているのが「腸閉塞」ですが、物理的に閉塞しているので何か原因があるはずです。
大腸癌とか、腸重積とか、宿便とか。
クローン病だって悪くなると腸閉塞になります。
腹部CTで「腸閉塞」を見た時には、その原因を探すようにしましょう。
見落としやすいのは「鼠経ヘルニア」だと思います。
前提・分析・結論
(前提)腸閉塞には原因がある
(分析)原因として見落としやすいのは、鼠径ヘルニアである
(結論)腸閉塞のCTを見たら、鼠径部もしっかり見るようにしよう
秘書ユナのコメント
こあら先生が提示したCT画像は、以下のサイトからのものです。ピンクの矢印は、こあら先生が書き込んだものです。
参考サイト
Radiopaedia.org.
Radiology reference and case database.
Radiopaedia 公式サイト.
Radiopaedia のトップページはこちら(Radiopaedia.org)
最終閲覧日:2025年12月1日
Radiopaedia is widely used for radiology education around the world.(Radiopaedia は、世界中で放射線診断教育に広く利用されています)