胸部レントゲンをオーダーした場合は、オーダーした医者がもちろん見るわけですが、医者が見るよりも先に誰かが見る可能性があります。可能性というか、レントゲン技師の方は100%見ます。今回は「気胸を見つけて報告してくださいね。もちろん僕も見落とさないように気をつけます」という話です。
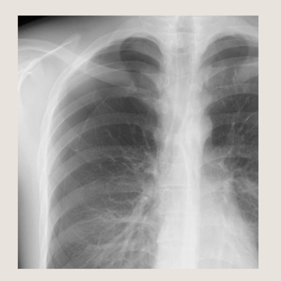
正常な胸部レントゲン画像

胸部レントゲン画像は、こっちを向いて立っている人を透視しているイメージなので、右肺と左肺は図のようになります。これを覚えて、「右肺に気胸があります」とか「左肺に気胸があります」とか言えるとかっこいいです。真ん中の白いのは心臓です。
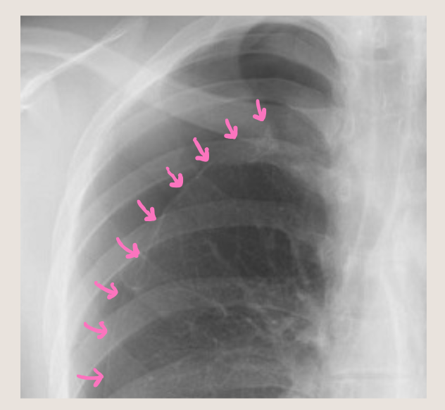
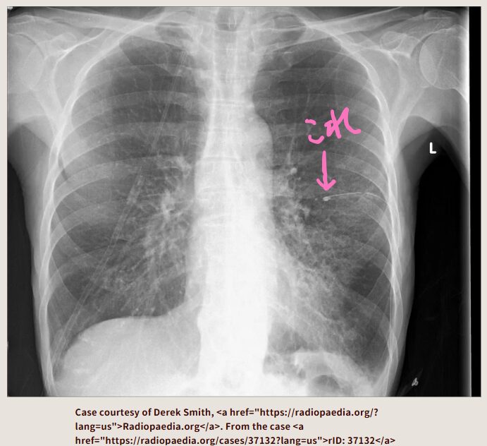
気胸の胸部レントゲン画像

気胸の胸部レントゲン画像を見てみましょう。肺に穴が開いて、肺がしぼんでしまうのが気胸ですが、肺の上の方がしぼむ事が多いです。なので、「どこに気胸があるでしょうか?」などと聞かれた場合は、肺の上の方を重点的に見るといいです。

どうでしょうか? 右肺の上の方に、なんだか「線」が見えるでしょう?

さらに拡大しました。しぼんだ肺のラインが見えます!

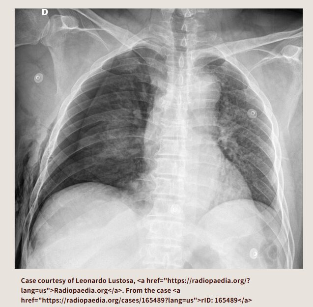
この胸部レントゲン画像はどうでしょうか? ぱっと見て思うのは、おそらくモニター心電図の電極が付いていて、左の肺が白ぽいので肺炎かな、状態悪そうだなということです。気胸はどこにあるでしょうか?

右肺が気胸になっています。

この胸部レントゲンはどうでしょうか? 左の肺の外側が黒っぽいですよね。

左の気胸になっています。

アスピレーションチューブを左胸腔に留置して、脱気しています。それで左肺が膨らんでいます。
前提・分析・結論
前提:胸痛・背部痛・呼吸苦などの原因検索のため胸部レントゲン検査を行うことがあるが、症状の原因として「気胸」も鑑別に挙げる必要がある。
分析:気胸を見つける方法は、よく見て、しぼんだ肺のラインを見つけることである。
結論:典型的なレントゲン画像を勉強しておき、気胸を見逃さないようにしておきたい。