本文(こあら先生の覚え書き)
健診で「胸部レントゲンに異常影がある」と言われて来院される方は少なくありません。
呼吸器内科の外来があれば、迷わずそちらに案内できますが、問題は「その日が外来休診日」の場合です。
たとえば、患者さんに自覚症状がなくても、胸部大動脈瘤や肺がんといった重大疾患のこともあります。
そのため、「今日は呼吸器内科がいないから後日」ではなく、その日のうちに内科で一次評価(CTを含む)を行うことが望ましいと思います。
レントゲンの段階では見落としも多く、結局CTを撮ることで確定するケースがほとんどです。
呼吸器内科がやっていなければ、まずは内科が責任をもって評価し、必要に応じて紹介する。
これが最も自然な流れでしょう。
結論
健診の胸部異常影は、
(1)呼吸器内科があれば呼吸器内科へ。
(2)なければ内科で一次評価。
「どこが診るか」よりも、「その日に誰が診るか」を意識して導線を設計することが大切です。
前提・分析・結論
(前提)
健診で「胸部異常影」を指摘された場合、診療導線が不明確だと、患者が迷い、診断が遅れるリスクがある。
(分析)
初診時に呼吸器内科が不在でも、内科でCTをオーダーし、一次評価を行えば対応可能。レントゲンのみで判断するのは限界がある。
(結論)
健診の異常影は「呼吸器内科があればそちらへ、なければ内科で一次対応」。その日のうちに医師が確認する仕組みを整えるのが理想。
秘書ユナのコメント(読者向け)
胸部レントゲンで「異常影」と言われても、実際は経過観察で済むケースも多いです。
ただし、まれに命に関わる疾患が隠れていることも。
「今日は呼吸器内科が休みだからまた今度」ではなく、内科で一度見てもらうことが安心です。
こあら先生のひとりごと

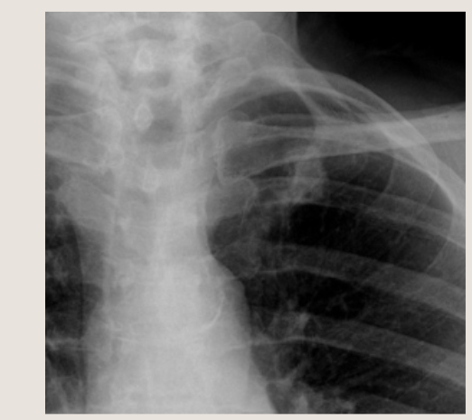
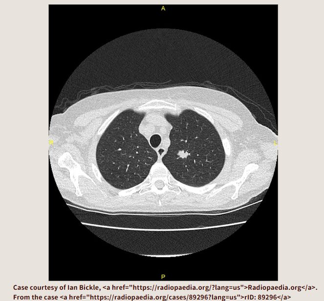
左肺尖部、あやしいかな。

肋骨の断端かな? 結節影?

結局CT撮るんですよ。呼吸器内科の先生だって結局CT撮るんですよ。だったら、今日内科でCT撮ったほうがいいでしょう。何もなければ今日で終了です。あやしい影があったら、読影に出して(呼吸器内科の先生も読影があったほうがうれしいでしょう)呼吸器内科外来を予約してあげましょう。