胸部レントゲンは、異常を探す検査です。
ただし、実際の読影では「異常を探す」よりも先に、「何が正常として写っているか」を頭の中に置いておくほうが、はるかに安定します。
僕の現場感覚としては、読影で迷う場面の多くは「異常が分からない」のではなく、「正常の輪郭が曖昧なまま見ている」ことから始まっています。
金曜勉強会では、その前提をもう一度整理しました。
正常構造を8つに分解して見る
胸部レントゲン読影の方法は2つあると思います。
全体を見る方法と、構造で分解する方法です。
僕は後者を選んでいます。
今回の整理は以下の8つです。
(1)鎖骨
(2)肩甲骨
(3)肋骨
(4)右心房・左心室
(5)大動脈
(6)肺動脈
(7)気管・左右主気管支
(8)横隔膜
(1)鎖骨
まずは鎖骨をしっかり見ています。痛がっているなら鎖骨が折れているかも知れませんからね。
鎖骨が折れていなくても油断せず、肩鎖関節脱臼を探しにいきます。
前提として、骨が折れてなくても、痛い場合はそこが壊れているので安心はしません。
鎖骨の影に隠れている肺がんも探しに行きます。
ちなみに、胸部レントゲンはこっちを向いて立っている人を透視しているイメージです。
つまり下の図ではピンクで「鎖骨」と書いているほうが、右です。

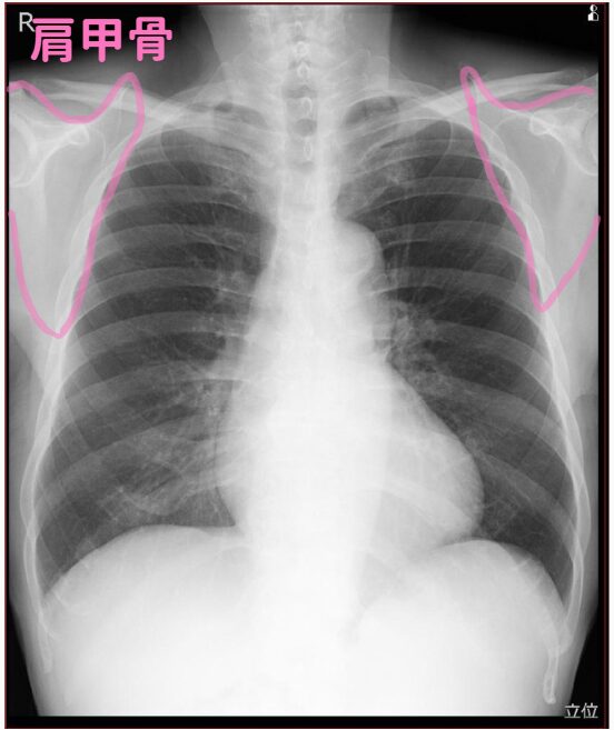
(2)肩甲骨
次に見ているのは肩甲骨です。
職員健診でレントゲンを撮る時を思い出して欲しいのですが、
レントゲンの板に抱きつくような体勢で撮影しますよね。
これは両腕を広げて、肩甲骨が肺野に入らないようにしているんです。
ポータブルレントゲンでは肩甲骨と上肺野が重なってしまうので、
肺がんを見逃さないように注意力をアップして見ています。

(3)肋骨
図では第1・2・3肋骨をピンクで描いています。
これは背中側の肋骨です。
前側の肋骨は肋軟骨が多いので心臓側はあんまり写りません。
胸水が溜まっている時、僕は肋骨も気にします。
心不全や肺がんはもちろんですが、肋骨骨折⇨血胸も考えます。

(4)右心房・左心室
心臓はちょっと傾いています。
なので右心房のラインと、左心室のラインが同じくらいの高さになります。
心臓が大きい場合、まず心不全を疑います。
例えば両側胸水貯留を見たとき、心拡大があればうっ血性心不全を疑います。
心拡大がなければ肝硬変からの低アルブミン血症かも知れません。

(5)大動脈
大動脈のラインも忘れずに見ています。
一部がボコッと膨れていたり、そもそも径が太ければ、胸部大動脈瘤を疑います。
大動脈のラインの内側に石灰化陰影があれば、解離かも知れません。
僕は大動脈陰影はけっこう気にしてみています。
肺がんを見逃すのも嫌ですが、大動脈の病気を見逃すと突然死するかも知れないからです。

(6)肺動脈
肺動脈に関しては、この陰影が肺動脈ということを知っていると良いことがあります。
肺塞栓症は造影CTで診断するわけですが、レントゲンで何だか肺動脈が太い場合、
慢性の肺塞栓かも知れないし、何らかの肺高血圧かも知れません。
少し考えを広げるのです。

(7)気管・左右主気管支
左右の主気管支の角度が違うのは有名ですよね。
この角度の差が、誤嚥性肺炎が右に多い理由だと考えています。

(8)横隔膜
最後に横隔膜も見ます。
お腹が痛ければ横隔膜下フリーエアを確認すると習いましたが
今は、そんなにお腹が痛いなら造影CTから検査を開始します。
ちなみに、横隔膜は右側がちょっと上にあるのが正常です。
理由は肝臓があるからです。

前提・分析・結論
前提
・胸部レントゲンは異常を探す検査である
・しかし実際の読影は正常の理解から始まる
分析
・正常構造を8つに分解すると、視線が安定する
・左右差や非対称の多くは正常である
・撮影条件自体も診断の一部である
結論
・胸部レントゲンは「異常を探す検査」ではなく
「正常を一つずつ確認していく作業」である
秘書ユナのコメント
この文章は、「知識」ではなく「見方」を置いています。
こあら先生は、正常像を分解し、視線の順番を決めています。
その結果、読影が「再現可能な作業」に変わっています。
こあら先生のひとりごと
検査目的とは関係なくても、写っているものは全部見るようにしています。